牙龈萎缩,拜博医生为你解决
发布时间:2021-09-30 来源:

牙龈萎缩的出现会让很多朋友都措手不及,当我们一旦出现这个症状时,好的办法还是去口腔医院进行详细的检查。拜博口腔医院副院长钱鸥医师长期在院坐诊,能够准确为您找准病因,然后制定出合适的诊疗方案。


导致牙龈萎缩的具体原因是什么


拜博强大的技术让你远离牙龈萎缩


、牙周病引起的采用龈上刮治:牙周病引起的我们可以及时的去医院进行疾病治疗,一般都采用龈上刮治,严重了我们还需要牙周手术,这个时候就会好了。


牙龈萎缩我们该怎么办呢


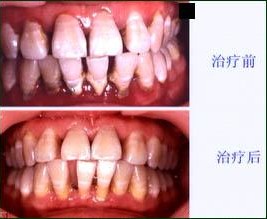
       龈下洁治术:采用水激光诊疗技术,进行龈下刮治器治疗,刮除位于牙周袋内根面上的牙石和菌斑。【点击预约手术】


第二、长期牙齿缺失导致的需要镶牙:牙齿长期的缺失我们要及时的去医院镶牙,如果牙槽骨不够,我们需要进行植骨,也是可以达到您想要的结果的。


拜博种植牙:拜博半/全口种植种植牙修复,仅需4-8颗种植体,2小时就可以完成全口或者半口的牙齿重建。省时更省钱。【点击预约手术】



       拜博资深医生团队为你解决牙龈萎缩烦恼

拜博的医生均拥有10年以上的临床工作经验,对于牙周的疑难杂症均有丰富的应对经验,他们技术精湛,态度真诚,一心为患者考虑,根据患者的情况为其量身定做合适的诊疗方案。



【点击预约手术】

如果你在阅读文章时碰到不清楚的地方,可以通过下面的“我要咨询”询问我们的医生,如果你需要看病又不想排队挂号,可以通过“我要咨询”提前预约,同时,您也可以直接拨打我们的官方电话400-003-0101,我们将免费为你安排。



更多内容 更多>>