苏医生专栏:一例氟斑牙着色门牙贴面修复
发布时间:2021-09-30 来源:

  拜博口腔苏医生病例分析:

  ——病例——

  姓名:耿先生

  年纪:29岁

  牙齿问题:门牙着色数十年

  治疗方案:3M瓷贴面修复




  【病例详细情况】

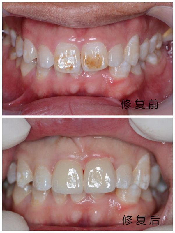
  患者儿时在北方生活,换牙后便发现门牙有着色,一直未处理,今来我院要求治疗。否认系统性疾病,否认过敏史,否认传染病史。11号牙21号牙唇面切端1/2黄棕色氟斑牙着色,均有不同程度的扭转,扣痛(-),松(-),龈(-)。余留牙均有白垩色斑块,未见明显龋坏。

  与患者交流协商后,11,21号牙贴面修复,以改变牙釉质颜色。11,21号牙比色,局麻下贴面预备,排龈,取模,临时牙制备粘结。第二次复诊,3M瓷贴面粘结剂永久粘结,调合,抛光。患者对修复效果表示满意。

  小节:粘结,抛光时很容易碰到牙龈,操作时要小心。术后照片是双氧水冲洗后伤口有些发白。



更多内容 更多>>