钴铬合金牙套价格
发布时间:2021-09-30 来源:
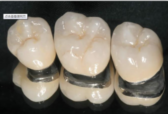
  钴铬合金烤瓷牙是典型的非贵金属烤瓷牙。烤瓷牙是一种比较的镶牙技术。它有着美观,自然,牢固,耐磨等优点,是许多牙疾患者喜爱的产品。钴铬合金烤瓷牙的好坏,目前众说纷云。一部人认为钴铬合金烤瓷牙价格低廉被普遍使用,烤瓷牙的的患者中有50%以上选择这类瓷牙。生物融合性好,美观,经济,耐久等优点。
  
      【钴铬合金烤瓷牙的优点】

  钴铬合金烤瓷牙是针对镍和铍的毒性而开发的,开始称之为“无镍无铍合金”。因为不含镍和铍,钴铬合金有很好的生物相容性,较早用于移植医疗,大量用来制作人工关节,一直被沿用至今。可以说钴铬合金是一种很好的生物金属。>>>了解更多钴铬合金烤瓷牙的优点,欢迎点击咨询,拜博口腔医生时间为您解答。

  1、相比镍铬合金,耐腐蚀性比镍铬合金好,金属稳定性更好,和瓷的结合性更好,更加不易崩瓷。
  2、具有比金合金(黄金)更高的硬度,用来做比较长的烤瓷桥不易变形。烤瓷桥比较长的时候,用钴铬合金更适合。
  3、钴铬合金不含对人体有毒的镍和铍等元素,可靠,价格合理,可以说是较具有性价比的非贵金属烤瓷用合金,但其性能比贵金属和还是有较大差距的。
  医生介绍说,钴铬合金烤瓷牙不含对人体有毒的镍和铍等元素,可靠,价格合理,可以说是较具有性价比的非贵金属烤瓷合金,但其性能比贵金属和还是有较大差距的,对金属敏感的人还请尽量选择全瓷牙。

  铬合金烤瓷牙,恢复牙齿功能经济实惠,除了贵金属类烤瓷牙外,也有一种价格不高,但质量上不输于贵金属类烤瓷牙的材料,那就是钴铬合金烤瓷牙。钴铬合金属烤瓷牙虽然价格低廉,但是与组织的相容性差,刺激性较大,可发生过敏现象及变色。钴铬合金较早用于制作人工关节具有杰出的生物相容性,已广泛用到口腔领域,由于其不含对人体有害的镍元素与铍元素,可靠且价格合理的钴铬合金烤瓷牙已成为非贵金属烤瓷的选择。适合大多数牙齿的修复,尤其适合后牙固定桥等固定修复。
  做钴铬合金烤瓷牙需要多少钱需要根据您牙齿的状况、您的要求和医生的建议来综合考虑,价格也要根据患者的病情或选择以及医院技术、设备等确定,在检查之前无法得知确定的价格。因此,如果您想了解详细情况,请与拜博的医生们在线交流或来院当面咨询。>>>点击咨询拜博口腔医生


更多内容 更多>>