网友咨询:我想做牙齿矫正,听说现在有一种隐形牙套,带上去的话几乎看不出戴牙套的痕迹,但大家都说做隐形牙套很贵,所以想了解一下隐形牙套价格是怎样的呢?到底贵不贵呢?
拜博口腔医生回复:你好!隐形牙套的价钱不是一定的,要看你选择到哪里做,选择什么样的隐形牙套、什么品牌以及医生的等级等等,一般来说,隐形牙套比传统牙套要贵,价钱在上万元以上。隐形牙套主要是通过三维技术进行准确定位,帮助人们完成一系列透明的牙套,具有美观、隐形、舒适、快速的特点。
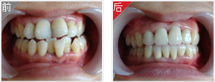
拜博口腔周迪曦医生介绍,过去的传统矫正器是在牙齿上黏结称为托槽的小金属片,再将矫正弓丝结扎上去,使牙齿发生移动,达到矫正的目的。这种“铁嘴钢牙”的装置,诞生了无数“钢牙妹”、“钢丝哥”,严重影响患者美观及形象,同时,因满口钢牙不便清洁,易造成牙龈炎症、牙齿脱矿变色等口腔损害,从而使不少患者,特别是成人患者望矫正而生畏。于是,全新的隐形正畸术就这样诞生了。
一、隐形牙套价格都是多少

隐形牙套矫正是所有牙齿正畸手术当中完善,美观,受欢迎的矫正方式。隐形牙套价格必须根据患者的实际情况量身定制。隐形牙套价格与牙套的材质、患者的牙齿形态、制定的矫正方案有密切关系。医生会根据患者的具体情况和需求估算隐形牙套价格。
在进行隐形牙套矫正,无托槽隐形矫正器佩戴美观,几乎隐形,佩带者将在别人毫无察觉时完成牙齿矫正,解决了许多患者对矫正牙齿的美观顾虑。与传统的牙套相比,隐形牙套的价格是比较贵的。因为隐形牙套需要借助计算机的辅助进行设计和制作,制作这种牙套对技术要求也非常高,所以隐形牙套价格自然会比传统正畸相对较高一点。

二、隐形牙套价格具体与哪几方面有关
首先,要看看患者口腔状况的影响,由于每个患者口腔的情况会有所差异,若是有口腔疾病还需要行口腔疾病的治疗这就导致了隐形牙齿矫正器难易程度的差异,收费标准当然就会有一些差异了。
其次,来看看患者所处地区的影响,因为各个地区之间的发展状况会有一定的差异,这就造成了不同地区之间消费观的差异性,所以在不同的地区进行隐形牙齿矫正器治疗费用就会不同了。
再者,从患者选择的医生方面的影响来说,很多时候,患者即使是在一家医院进行手术,选择的医生不同,价格也是不一样的,临床经验丰富的老医生和没有经验的医师相比,隐形牙齿矫正器的质量及和终收费都是会有差异的。
后,说说医院的影响因素,其实这和医生的选择差不多,正规的牙科机构和一般的口腔门诊相比,医院投入的人力物力都是有很大差别的,正规的口腔医院不仅有的医疗设施,还有很多技术高超的医生坐诊,而一般的小诊所技术及设备都不能达到要求,那隐形牙齿矫正的价格当然也不同的。

三、隐形牙套为什么会受百姓如此欢迎?
一般来说,牙齿正畸的佳时期是12到18岁。然而,很多成人患者错过了佳的矫治时机,又由于健康、美观、职业和社交的需要,希望自己有一口整齐的牙齿。与传统的正畸方式不同,隐形牙套技术,不需要托槽和钢丝,采用的是一系列隐形矫治器,该隐形牙套由的弹性透明高分子材料制成,使矫治过程几乎在旁人无察觉中完成,不影响日常生活和社交。
四、推荐技术: ByerSmile日式手造隐形正畸技术,让你轻松完成牙齿矫正
ByerSmile日式手造隐形正畸技术是现代计算机辅助快速成形技术和新材料结合的产物。医生们通过计算机模拟矫正过程,并用弹性透明高分子材料为每一个过程制作一个矫治器,从而达到矫正牙齿的目的。因为实现了隐蔽治疗,开口大笑也看不出在做矫正治疗。保护了患者的隐私和社交形象,更由于其矫正的隐蔽性和快捷性,受到越来越多口腔求美者的亲睐,更成为成年人热捧的牙齿矫正潮流技术。
以上就是对于隐形牙套价格的介绍,总体而言,价格不是衡量牙齿矫正效果的终因素。建议大家一定要选择正规口腔,让医生制定适合自己的佳方案,在确保矫正的前提下,再考虑价格的问题。后如果大家还有问题可点击咨询医生或直接来院与医生面对面交流了解更多。